“2㎝ 이하 폐암, 구역절제술이 표준”…정밀 수술로 환자 삶 달라진다
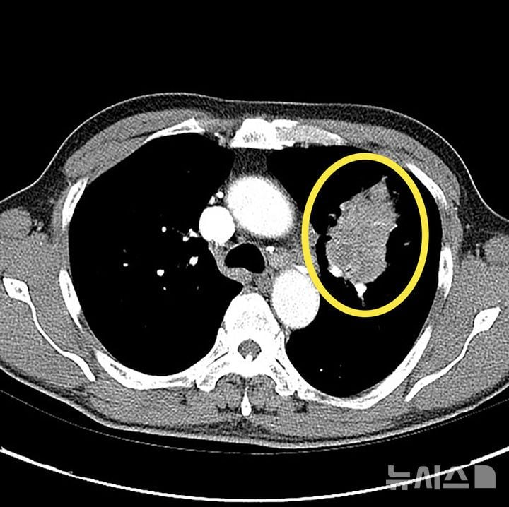
폐암 수술이 생존률만이 아니라, 수술 후 환자 삶의 질까지 중시하는 정밀 맞춤 치료로 빠르게 진화하고 있다. 최근 저선량 흉부 CT(Computed Tomography) 검진이 보편화되면서 2㎝ 이하 ‘조기 폐암’ 발견이 급증했고, 이에 따라 정상 폐 조직을 최대한 살리는 구역절제술·쐐기절제술 등 정밀 수술이 새로운 치료 표준으로 자리잡고 있다. 업계는 이같은 변화가 폐암 치료 경쟁의 분기점이 될 것으로 보고, 수술 이후 환자 회복과 일상 복귀까지 아우르는 수술법 개발에 역량을 집중하는 분위기다.
최근 발표된 의료계 자료에 따르면 저선량 CT 도입 후 종양 크기가 2㎝ 이하인 폐암 환자 비율이 크게 증가했다. 이에 따라 기존 폐엽 전체 절제 방식의 광범위 수술 대신, 암이 위치한 폐의 ‘구역’만 선별적으로 제거하는 구역절제술이 도입됐다. 구역절제술은 전체 엽을 남겨두는 것이 특징으로, 기존 절제술 대비 폐 기능을 5~10% 더 보존할 수 있다는 분석이다. 이는 환자가 수술 후 계단 오르기나 운동 시 호흡 곤란을 덜 겪고, 회복 기간을 앞당기는 것으로 평가된다.

핵심 원리는 폐를 최소 단위인 구역(세그먼트)으로 나눠 병변이 있는 곳만 절제하는 데 있다. 더 소규모인 쐐기절제술은 암 주변 조직만 삼각형 모양으로 잘라낸다. 이런 방식은 정상 폐 조직을 최대 90%까지 보존할 수 있도록 설계돼, 그만큼 폐의 기능 유지가 용이하다. 미국·일본 등 주요 선진국 연구에서도 구역절제술의 5년 생존률과 재발률이 기존 광범위 수술과 차이가 없다는 대규모 임상 결과가 제시돼, 조기 폐암에선 표준 치료가 되고 있다.
정밀 수술은 환자의 일상 회복성과 밀접하다. 기존 대엽 절제 방식은 광범위한 폐 조직 손실로 인해, 환자가 수술 후 계단 오르기조차 힘들 정도로 활동이 제한되는 경우가 많았다. 반면 구역절제술과 쐐기절제술, 그리고 최근 도입된 소구역절제술은 수술 범위 최소화로 숨쉬기 능력과 운동능력 저하를 방지해준다. 실제로 환자 만족도와 일상 복귀 속도가 뚜렷이 개선되고 있다는 의료진 평가가 나온다.
환자의 예후와 폐 기능 보존 사이의 균형이 중요한만큼, 의료 현장에서도 종양의 크기, 위치, 성격을 정밀하게 분석하고 있다. 특히 로봇수술 기술이 적용되면서 3D 영상 기반의 미세 절제, 최소 절개, 정확성 향상 등 환자 맞춤형 치료가 가능해졌다. 국내외 대형병원들은 거의 모든 조기 폐암 환자에게 흉강경 기반 최소침습 수술을 적용해 통증, 출혈, 흉터, 입원기간을 동시에 줄이고 있다.
이같이 폐 기능 보존 수술이 표준화되는 과정에서, 미국·유럽·일본 등에서는 이미 구역절제술이 조기 폐암 치료의 중심축으로 자리해 있다. 국내에서도 대규모 후향 연구, 프로스펙티브 임상 등이 축적되고 있어 관련 기술과 데이터를 선도국 수준으로 빠르게 따라잡고 있다.
다만 폐암 치료 후에는 단순 절제에 그치지 않고 정기 추적검사, 재활, 생활습관 관리 등 장기적 폐 기능 관리가 필수적이다. 의료계는 이를 위한 표준 진료지침과 보험 체계까지 정비하고, 환자군별 맞춤 회복 프로그램 개발도 서두르고 있다.
전문가들은 정밀 수술 기술과 폐 기능 회복 관리가 결합되면, 폐암 환자가 계단을 오르거나 운동을 할 수 있는 ‘삶의 질 전환’ 시대가 앞당겨질 것으로 내다본다. 산업계는 이번 기술이 실제 시장에 안착할 수 있을지 주시하고 있다.