“조기 폐암 생존율 80%”…정기 검진이 치료 성패 좌우
폐암 조기 진단 기술이 암 치료 성과의 판도를 바꾸고 있다. 최근 국가암등록통계와 임상 데이터에 따르면, 폐암은 전체 암 발생률 3위이면서 사망 원인 1위인 치명적 질환이지만, 전이 전 조기 발견 시 5년 생존율이 80% 가까이 높아지는 것으로 집계됐다. 의료 현장에서는 저선량 흉부 CT검사와 조직·유전자 진단 기술을 연계해 폐암 고위험군의 조기 발견 체계를 본격 강화하고 있다. 업계는 이러한 선제적 진단과 맞춤 치료 환경이 암 치료 패러다임의 전환점이 될 것으로 보고 있다.
폐암은 폐 조직에 악성 종양이 발생하는 질환으로, 세포 형태에 따라 비소세포폐암과 소세포폐암으로 분류된다. 전체 환자의 85%를 차지하는 비소세포폐암은 비교적 진행이 느린 편이지만, 소세포폐암은 급속도로 전이돼 치료 시기를 놓치기 쉽다. 지난해 기준 폐암 환자의 5년 상대생존율은 40.6%에 그쳤지만, 조기 단계에서 진단 시 79.8%까지 상승한다는 점은 진단 시점이 치료 성과에 반드시 작용함을 시사한다.

최근에는 흡연 이력이 없는 비흡연자 폐암이 꾸준히 증가하고 있다. 대한폐암학회 분석에 따르면 2023년 국내 폐암 환자의 36%가 비흡연자였으며, 특히 여성에서 그 비중이 높았다. 미세먼지 등 실내외 공기오염, 간접 흡연, 라돈, 직업적 유해물질 노출, 가족력 등 다양한 환경 및 유전 요인이 복합적으로 위험도를 높이고 있다는 해석이다.
문제는 폐암이 초기에 특별한 증상이 거의 없다는 점이다. 기침, 가래 등도 감기와 혼동하기 쉽고, 폐 조직 자체가 통증을 잘 느끼지 않기 때문에 상당히 진행된 후 발견되는 사례가 다수다. 증상이 없는 상황에서 건강검진이나 타 질환 검사를 통해 우연히 진단되는 경우가 일반적이다. 그러므로 흡연력 30갑년 이상, 55세 이상, 가족력이나 환경 노출 등 고위험군은 반드시 정기적으로 검진을 받아야 한다는 권고가 강화되고 있다.
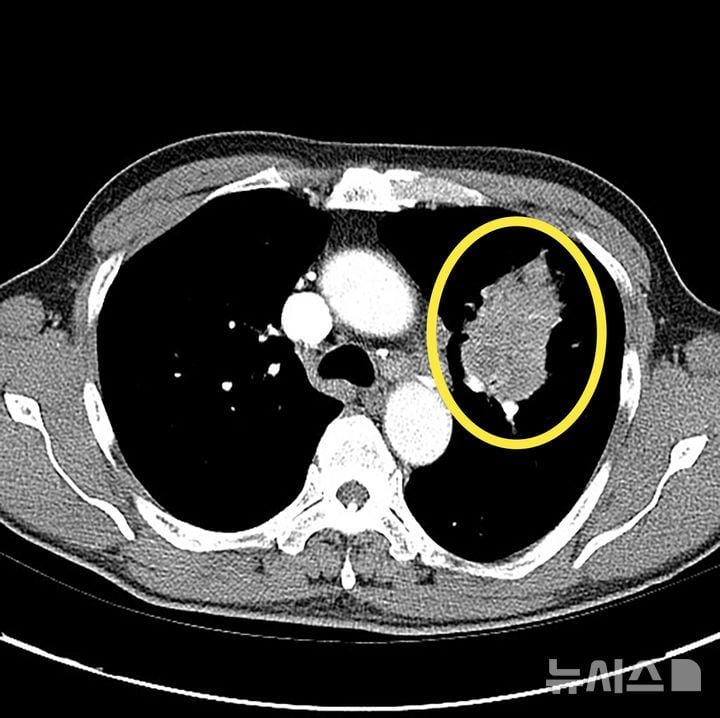
진단 기술은 최근 저선량 흉부 CT가 핵심 도구로 자리잡는 중이다. 초기 폐결절을 감지하는 데 기존 흉부 X-레이보다 월등히 정확하며, 이상 소견이 발견되면 조직 검사 및 분자유전학적 검사로 암세포의 유전자 변이 여부까지 확인한다. 이렇게 축적된 데이터는 환자별 맞춤 치료제 선택과 적용에 직접 연계된다.
치료 기술 역시 유전자 분석 기반 표적치료제, 면역항암제 등으로 고도화되고 있다. EGFR, ALK 등 특정 유전자 변이가 확인된 경우 먹는 표적치료제가 높은 반응률을 보이며, PD-L1 단백질 발현이 높은 환자에게는 면역항암 치료가 표준 전략으로 떠오르고 있다. 암이 상당히 진행된 사례에서는 항암·면역 병합치료가 선택지로 제시된다.
글로벌 의료계 역시 폐암 조기 진단·치료법 경쟁이 심화되고 있다. 미국과 유럽 등에서는 인공지능 기반의 CT 판독 시스템과 바이오마커 발굴, 환자별 데이터 분석을 통한 선제적 관리 체계가 도입되며 그 효과를 검증받고 있다. 국내에서는 강동경희대학교병원 등 다수의 기관이 최신 유전체 분석 플랫폼을 구축해 임상 적용을 확대 중이다.
정기 추적·관리의 중요성도 더욱 강조된다. 암 치료 후에도 6~12개월 단위 정기 CT·혈액 추적검사를 실시해 재발 가능성을 선제적으로 감시하는 프로토콜이 도입되고 있다. 의료 윤리·보험 적용, 데이터 보호 등 제도적 장치 마련이 조기 진단·치료 보급의 변수로 꼽히며, 정부 차원의 만성질환 국가검진체계 확대 논의도 활발하다.
전문가들은 “‘조용한 살인자’로 불리는 폐암은 증상 없는 진행이 많아 선제적 검진만이 생존율을 결정짓는다”며 조기 검진 체계 강화의 필요성을 재차 강조하고 있다. 산업계는 이번 조기 진단 기술 고도화가 실제 임상 현장에 안착할지 주시하는 분위기다.