“AI가 응급환자 진단 책임진다”…의료취약지 영상판독 부담 줄어
AI 기반 영상 진단 기술이 농어촌 등 의료취약지역 응급의료 체계의 판도를 바꾸고 있다. 최근 국립중앙의료원 발표에 따르면, 지난해 전국 37개 응급 취약지 의료기관의 영상판독 건수는 1만 3375건으로 2023년 대비 22.1% 증가했다. 전문의 부족으로 주간엔 1명당 평균 11.9건, 야간·휴일엔 37.1건을 단독으로 판독하는 상황이 반복되며, 의료진의 과부하와 진료 지연 우려가 커지고 있다. 업계는 “AI 영상진단 도입이 응급환자 분류 및 중증 진단의 분기점이 될 수 있다”고 분석한다.
국내 대표 AI 영상진단 제품으로는 코어라인소프트의 ‘에이뷰 뉴로캐드’와 뷰노의 ‘뷰노 메드 체스트 엑스레이’가 꼽힌다. 에이뷰 뉴로캐드는 뇌 CT 영상을 기반으로 뇌출혈 여부를 자동 검출하고, 의료진의 판독 작업을 실시간으로 보조하는 소프트웨어 의료기기다. 최근 분기당 1만 건을 상회하는 실제 임상 활용 데이터가 축적되며, 워크플로우 내 전면적 흡수 단계에 진입했다. 박준민 코어라인소프트 CPO는 “AI 진단 도구가 의료진 판단을 구체적 수치와 영상 기반으로 뒷받침하는 것이 현장에 큰 도움”이라고 말했다.

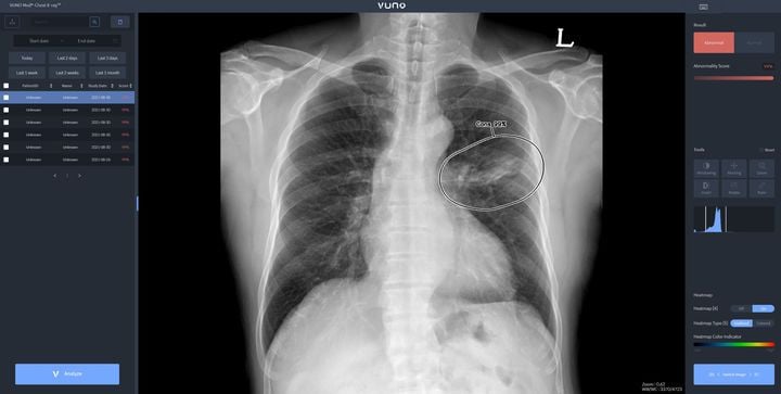
뷰노 메드 체스트 엑스레이는 흉부 엑스레이 영상에서 주요 5개 소견을 자동 판독, 폐암·결핵·폐렴 등 중증 질환 사전 감별을 지원한다. 의료진이 의심 환자 추려내기에 드는 시간을 단축하고 판독 정확도를 높이는 역할이다. 특히 이번 기술은 기존 판독의 한계였던 의료진의 피로누적, 주관적 해석 문제를 극복했다.
글로벌 사례로는 싱가포르 창이 종합병원이 주목된다. 2023년 병원 응급실에서 촬영된 2만여 건의 흉부 엑스레이 영상을 활용한 실증 연구 결과, 루닛의 의료 AI가 긴급도에 따라 환자 분류에 소요되는 시간을 의사 대비 77% 단축했다. 최소 판독 시간 역시 전문가 평균 1.7초 대비 AI는 0.2초에 불과했다. 연구팀은 “AI 도입이 응급실 내 신속한 환자 의사결정을 직접 지원한다”며 임상 효용성을 언급했다.
현재 국내 의료 AI 소프트웨어 대다수는 식품의약품안전처 인증을 받은 ‘의료기기’로 공급되고 있지만, 숙련도 편차와 데이터 윤리, 개인정보 보호 등 제도 개선 요구도 이어진다. 실제 현장 적용 확대를 두고 의료계 일각에서는 “AI가 보조적 수단에 머물러야 하며, 환자 진단 책임 소재는 명확히 해야 한다”는 의견도 상존한다.
전문가들은 “공공과 민간이 협력해 응급진단 AI 적용 범주를 점진적으로 확대할 필요가 있다”며 “AI 기술 상용화가 의료 접근성 향상의 전환점이 될 것”으로 보고 있다. 산업계는 이번 기술이 실제 시장에 안착할 수 있을지 주시하고 있다.