“MRI로 재발 위험 60%↓”…서울대, 50세 이하 유방암 맞춤치료 길 열다
유방암 진단에 활용되는 MRI(자기공명영상) 기술이 젊은 유방암 환자의 치료 패러다임을 바꾸고 있다. 서울대병원 연구진은 50세 이하 유방암 환자에게 수술 전 MRI 검사가 재발 예방에 뚜렷한 효과가 있음을 밝혀 업계 주목을 받고 있다. 이번 결과는 호르몬 수용체 음성 등 예후가 악화되기 쉬운 젊은 환자에서 영상 기반 정밀 진단과 치료 계획의 산업적 파급력을 시사한다. 국내외 관련 업계와 의료계는 이번 발표를 정확도 중심 정밀의료 경쟁의 분기점으로 보고 있다.
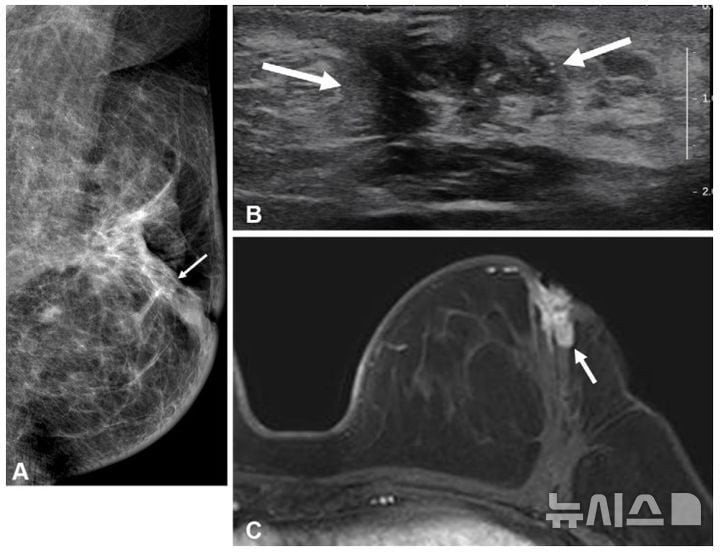
연구 성과는 서울대병원의 하수민·연희라 영상의학과 교수, 김홍규 유방내분비외과 교수팀이 2011~2017년 사이 50세 미만 유방암 환자 4414명을 추적해, 수술 전 MRI 검사 여부와 장기 예후(재발률) 관계를 상세 분석한 것이다. 특히 임상에서 재발 가능성이 높은 호르몬 수용체 음성 유방암 환자에게 수술 전 MRI 시행이 같은측 유방 내 재발 위험을 60% 이상 낮춘 것으로 확인됐다.

유방 MRI는 해부학적 해상력과 민감도가 높아, 기존 유방촬영술과 초음파로는 발견이 어려운 미세 종양까지 진단하는 첨단 영상 장비다. 연구팀은 전체 환자를 MRI 검사 경험 유무에 따라 구분한 뒤, 병기, 종양 크기 등 주요 임상 변수로 통계적 보정을 실시했다. 중앙 7.7년 추적 관찰 결과, 전체 재발률은 군별 차이가 없었으나, 수술 부위 내 국소 재발률은 MRI 검사군이 1.6%로, 비검사군(3.3%) 대비 절반 이하로 떨어졌다. 그 중 호르몬 수용체 음성 환자군에선 MRI 선별 시행이 동일 부위 재발 위험을 8.2%(MRI군) 대 20.7%(비MRI군)로 줄여 60% 이상 감소 효과를 보였다. 단, 호르몬 수용체 양성군에서는 유의한 차이는 확인되지 않았다.
글로벌 유전체 기반 정밀의료 시장에서도 영상-분자 진단 융합, 환자 개별화 치료가 의료기관과 산업의 핵심 목표로 부상한 가운데, 젊은 환자(치밀 유방, 조기진단 취약)에서 영상 진단 데이터의 임상 가치를 규명했다는 점에서 의미가 크다. 실제로 미국, 유럽 등지에서도 유방암 재발 패턴, 분자적 위험군에 따른 선진 영상 활용 전략이 빠르게 도입되고 있다.
의료기기 소프트웨어(의료 영상 AI)와 의료기관 진단 프로토콜은 각국 규제 지침에 따라 엄격히 관리된다. 이번 연구도 수술 전 영상 판독 결과와 임상 데이터간 상관관계를 과학적으로 증명함으로써 건강보험 급여, 장비 인증 등 정책적 논의의 실마리를 제공하고 있다.
전문가들은 이번 결과가 젊은 유방암 환자의 맞춤형 영상 검사 도입 근거를 마련함과 동시에, 향후 AI 영상 판독, 유전자 정보 연계 정밀 진단 등 차세대 IT·바이오 융합 의료 발전의 기틀이 될 것으로 본다. 하수민 교수는 “특정 유전자 표현형, 영상소견별로 검사·치료 전략을 차별화하는 정밀의료 기반이 마련됐다”고 분석했다.
산업계는 MRI 기반 맞춤 진단이 실제 의료 현장과 보험 체계에 안착할지 예의 주시하고 있다. 기술의 임상적 정확도 뿐만 아니라, 비용·접근성·윤리 기준의 균형도 미래 바이오헬스 산업 성장의 관건이 될 전망이다.
