“저선량 CT로 폐암 조기 진단”…정기 검진이 생존 좌우한다
저선량 흉부 CT(컴퓨터단층촬영) 검사가 폐암 진단에서 새로운 패러다임을 제시하고 있다. 폐암은 감기와 유사한 초기 증상으로 인해 진단이 늦어지는 일이 많은데, 이로 인해 국내 암 사망률 1위 자리를 오랫동안 지키고 있다. 전문가는 “흡연은 물론, 미세먼지나 조리 시 발생하는 연기 등 환경적 요인에 노출된 이들까지 폐암 고위험군에 해당된다”며 저선량 CT를 활용한 조기 검진의 중요성을 강조한다. 업계와 의료계는 폐암 조기 진단이 장기 생존률 격차를 가르는 경쟁의 분기점이 될 것으로 바라보고 있다.
폐암은 폐조직에 악성 종양이 발생해 다양한 조직으로 전이될 수 있는 치명적인 질환이다. 국내 2022년 기준 폐암 환자가 전체 암 환자 중 세 번째로 많았으나, 사망률은 1만3698명으로 암 사망률 1위에 해당한다. 하루 평균 37.5명이 폐암으로 생명을 잃는 실정이다. 폐암은 주로 3주 이상 장기 기침, 객혈(피 섞인 가래), 체중 감소, 호흡곤란 등이 동반되지만 이들 증상은 질환이 상당히 진행된 뒤에 나타나는 경우가 대부분이다. 이로 인해 ‘침묵의 살인자’로 불린다.

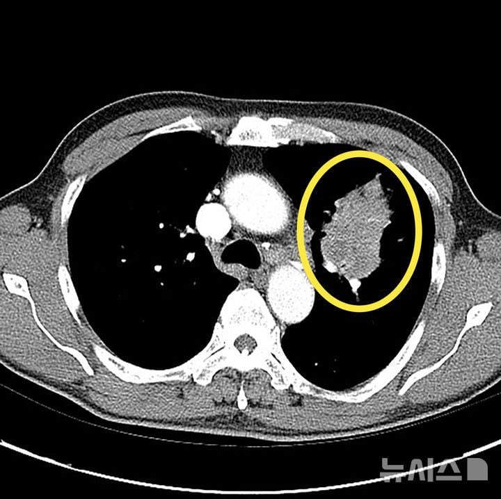
저선량 CT는 폐 내 작은 결절까지 탐지할 수 있으면서, 환자에게 노출되는 방사선을 기존 검사의 6분의 1 수준으로 줄인 영상 진단 기술이다. 특히 흡연 경험이 있거나 가족력, 미세먼지 등 고위험 환경에 장기 노출된 사람, 만성 폐질환 환자에 대해 정기 검사가 권장된다. 전문가들은 폐암 5년 상대 생존율이 41%에 불과하지만, 전이가 없는 조기 진단은 생존율이 80%까지 대폭 높아진다며 정기 검진의 산업적·의료적 효과가 크다고 분석한다.
한편, 흡연은 여전히 폐암 발생의 가장 큰 위험 인자로 통계적으로 전체 폐암 환자의 70%가 담배와 직간접적으로 관련돼 있다. 흡연자가 비흡연자보다 폐암에 걸릴 가능성은 약 20배에 달한다. 하지만 최근에는 간접흡연, 발암물질 노출, 미세먼지 환경에서 비흡연자 발병도 지속 증가하고 있다. 이에 따라 의료 현장에서는 증상 유무와 상관없이 고위험 대상자를 선별해 저선량 CT 등 영상 기술 기반 선제적 검진 프로그램을 강화하는 추세다.
글로벌 관점에서 미국, 일본 등에서는 이미 폐암 조기 진단을 위한 국가 검진 프로그램 도입과 저선량 CT 활용 사례가 확대되고 있다. 국내에서도 국가암검진 사업의 일환으로 고위험군에 대한 저선량 흉부 CT 검사를 통해 조기 발견율을 높여가고 있다. 다만 보험 적용 범위, 데이터 표준화, 방사선 노출 최소화 등 정책 및 제도적 보완도 더 필요하다는 의견이 나온다.
전문가들은 “폐암은 조기 진단이 이뤄지면 폐엽 절제술, 구역절제술 등 다양한 최소 침습적 수술로 완치 가능성을 높일 수 있다”며 “정기적인 검진과 더불어 금연, 환경적 유해물질 노출 차단 등 일상 관리가 산업 전반의 건강 경쟁력까지 좌우할 수 있다”고 분석하고 있다.
산업계는 이번 영상 진단 기술의 확산으로 암 진단 시장과 의료 플랫폼의 구조 변화 가능성, 데이터 기반 맞춤 의료 솔루션 강화 움직임을 주목하고 있다. 앞으로 폐암 등 암 질환 예방과 진단 시스템 고도화가 산·병원·정부 협력 생태계의 핵심 관전포인트로 부상할 전망이다.
