“심근이 두꺼워진다”…비후성 심근병증, 30대 돌연사 경고 신호
심근이 비정상적으로 두꺼워지는 비후성 심근병증이 상대적으로 젊은 연령층에서 돌연사의 중대한 원인으로 부각되고 있다. 이 질환은 심장 기능 저하와 부정맥 유발 등으로 환자에게 치명적인 결과를 초래할 수 있어, 정기적 검사와 예방적 개입의 필요성이 한층 강조되고 있다. 최근 유전적 검사, 심장 초음파 등 IT·바이오 융합 진단 기술 발전에 따라 조기 발견이 비교적 용이해졌다는 점도 주목받고 있다. 의료계는 비후성 심근병증 관리가 ‘심혈관질환 조기예방 경쟁’의 분기점이 될 것으로 보고 있다.
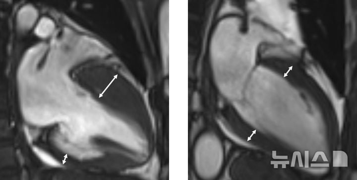
비후성 심근병증은 심장근육(심근)이 15㎜ 이상 비정상적으로 두꺼워져 혈액을 내보내는 기능이 떨어지고, 부정맥 등 합병증으로 돌연사를 유발할 수 있는 유전 기질성 질환이다. 주로 고혈압, 대동맥판협착 등 이차성 원인과 달리, 특별한 이유 없이 근육이 두꺼워지는 것이 핵심적 특징이다. 최근 연구에 따르면 인구 500명당 1명꼴로 드물지 않게 발생하며, 30세 미만 급사의 주요 원인으로도 꼽힌다. 그럼에도 초기에는 대부분 무증상에 머물러, 건강검진의 심전도·심장초음파에서 우연히 발견되거나 가족력 조사를 통해 진단되는 경우가 많다.

의료 현장에서는 심장초음파, 자기공명영상(MRI) 등 첨단 영상 진단과 유전자 검사로 심근 비후의 정확한 원인과 조직학적 변화를 판별한다. 최근에는 심근 내 섬유화, 지방변성 여부까지 세밀히 확인할 수 있어, 개별 환자 맞춤형 위험 예측 및 치료결정이 가능해졌다. 특히 고위험군 환자의 경우, 실신 경험, 돌연사 가족력, 심실빈맥, 혈압 저하 소견을 기반으로 평가 점수를 산출해 이식형 심실제세동기 등 예방적 시술을 조기에 도입하는 사례가 늘고 있다. 기존 약물치료로 증상이 조절되지 않는 경우에는 심근 절제 수술, 관상동맥 알코올 주입 시술 등 중재 치료도 병행된다.
이 질환은 전 연령에서 발생 가능하나 청년 및 가족력 보유 집단에서 급사 위험이 특히 높다. 최근 국내외 바이오 업계는 전달효율 높은 유전자 스크리닝, 비침습 영상 프로토콜 등 융합기술을 도입해 선별검사 및 조기경고 시스템 확산을 추진 중이다. 미국, 유럽 등 선진국에서도 국가 단위 유전자 패널검사, 가족력 기반 추적 시스템을 강화해 비후성 심근병증의 ‘사전 차단’을 목표로 하고 있다.
다만 급사의 위험성을 이유로 운동을 금기하거나 과도한 제한을 둘 필요는 없다는 점도 전문가들은 강조한다. 국내외 임상 근거에 따르면 저~중강도 운동(걷기, 요가, 가벼운 자전거 등)은 오히려 심혈관 건강 증진에 긍정적으로 작용할 수 있다. 그러나 고강도 운동(최대심박수 70% 이상)은 개인별 맞춤 평가와 전문의 지도하에 점진적으로 시행하는 것이 안전한 접근 방식으로 제시되고 있다.
규제와 인증 차원에서는 유전자 기반 진단법의 임상적 유효성, 의료 데이터 활용의 개인정보 보호가 논쟁이지만, 우리나라 식약처는 관련 영상 및 유전자 진단법에 대한 인증과 임상 가이드라인 마련에 속도를 내고 있다. 전문가들은 “기술과 제도, 환자 중심 관리가 균형을 이뤄야 비후성 심근병증 환자의 예후가 향상될 수 있다”고 진단했다.
김용현 고려대학교 안산병원 순환기내과 교수는 “비후성 심근병증은 조기 발견·예방적 치료만으로 상당수 위험을 막을 수 있어, 가족력·실신 경험이 있는 위기군은 반드시 정기검진과 위험관리 교육을 받아야 한다”며 “심폐소생술, 자동제세동기 사용법 습득 등 주위 가족의 대응 능력 확보도 중요하다”고 밝혔다. 산업계는 이번 진단·관리기술이 실제 생활 속 예방조치로 연결될 수 있을지 주목하고 있다.
